SMILES
علاج العضة المعكوسة الأمامية عند الأطفال بالتقويم
يعتبر التدخل المبكر أثناء فترة النمو هو مفتاح النجاح في علاج العضة المعكوسة عند الأطفال. بصفتي أخصائي تقويم أسنان في العين، أؤكد دائماً على أهمية الفحص في سن مبكرة. هذه الحالة توضح كيف تم تصحيح عضة معكوسة بنجاح بفضل المراجعة في الوقت المناسب.

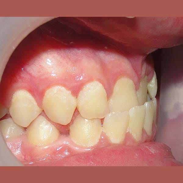
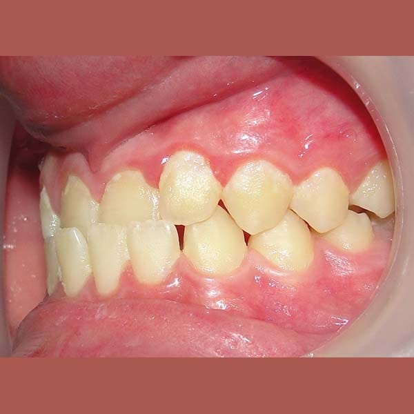
AFTER

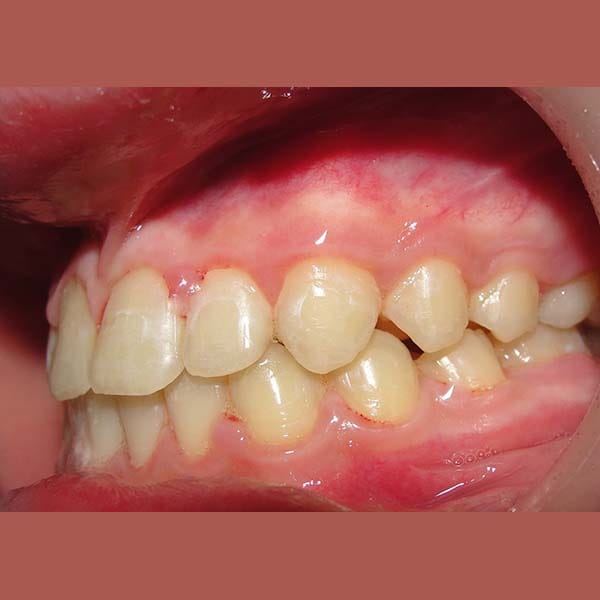
BEFORE





تفاصيل الحالة: من التشخيص إلى النتيجة
شكوى المراجع الأساسية:
راجعني والد هذا الشاب الصغير بعد أن لاحظ الأهل وجود تراجع واضح في أسنان ابنهم الأمامية العلوية، كما أن الشاب نفسه لم يكن راضياً عن ابتسامته.
خطة العلاج:
بعد الفحص، شخص الدكتور خالد الكاتب الحالة على أنها عضة معكوسة أمامية، حيث كانت أسنانه العلوية الأمامية تطبق خلف أسنانه السفلية. لحسن الحظ، راجعنا المريض في وقت مثالي قبل انتهاء فترة النمو، مما سهل العلاج بشكل كبير. تم تركيب تقويم الأسنان لمدة 18 شهراً، وتم خلالها إعادة وضع الأسنان الأمامية في مكانها الصحيح.
النتيجة النهائية:
كما تظهر الصور، تم تصحيح العضة المعكوسة بالكامل. استعاد صديقنا الشاب مهارته في الابتسام مثل مهارته في لعبة كرة القدم، وحصل على ابتسامة صحية وواثقة.
هل تلاحظ أي تراجع في أسنان طفلك العلوية؟
لا تنتظر. علاج العضة المعكوسة عند الأطفال يكون أسهل وأكثر فعالية خلال فترة النمو. أدعوك اليوم لحجز استشارة للاطمئنان على صحة إطباق أسنان طفلك.