SMILES

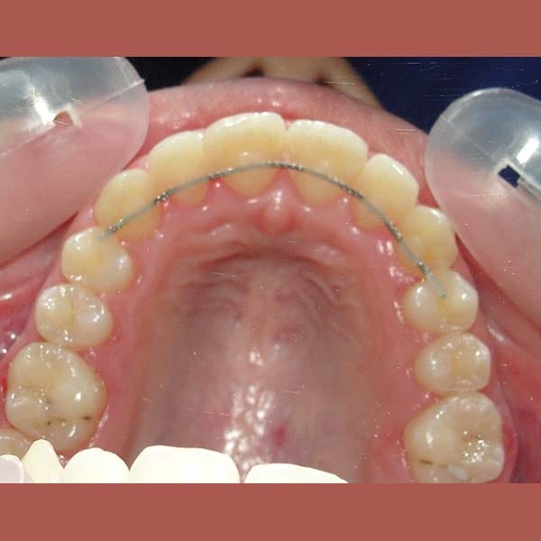
AFTER

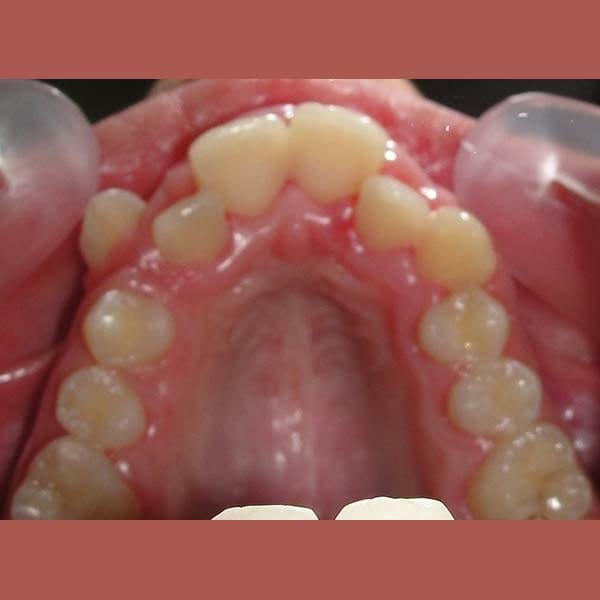
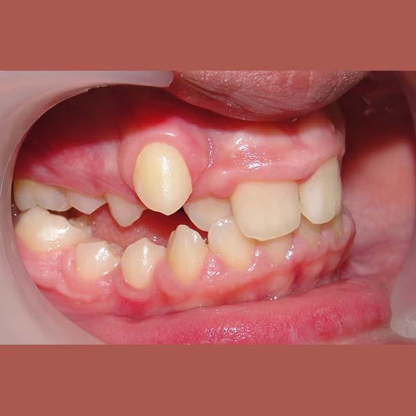
BEFORE






This young man suffered from an extra tooth lying between the upper front teeth.
Which caused him a misalignment in his teeth and an upper jaw stenosis.
The extra tooth was surgically removed, orthodontic treatment was performed, and the upper jaw was expanded. In the end, our friend regained his confident smile.
Read Related Articles Here