SMILES

AFTER

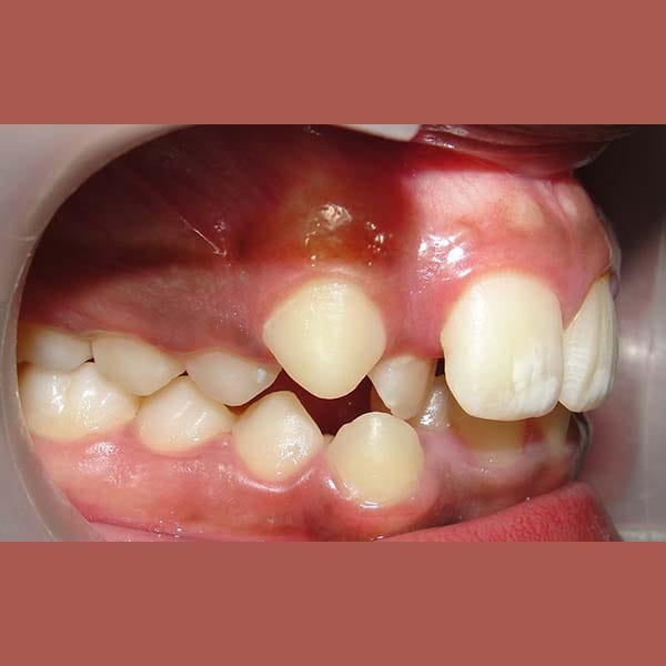
BEFORE





صديقتنا الصغيرة زارتني في العيادة مع أهلها و هي تشتكي من أنها لا تحب ابتسامتها و لا تستطيع مضغ الطعام بشكل جيد ، بعد فحص الخالة تبين من أنها تعاني من ازدحام شديد في الأسنان و من ميلان كبير في أسنانها الأمامية ، تم البدء بتقويم أسنانها و لكن للأٍف اضطررنا لقلع بعض الأسنان ، و هو اجراء قد نضطر له أحياناً لحل مشكلة الإزدحام إئا كانت كبيرة جداً. بعد مرور 18 شهر أصبح بإمكان صديقتنا أن تبتسم بثقة مجدداً و أن تمضغ طعامها بشكل فعال و طبيعي.