SMILES
إعادة علاج تقويم الأسنان لتصحيح عضة عميقة شديدة
إن إعادة علاج تقويم الأسنان هو تحدٍ كبير يتطلب خبرة ودقة لتصحيح نتائج علاج سابق غير مُرضٍ. بصفتي أخصائي تقويم أسنان في العين، أتعامل مع هذه الحالات المعقدة لإعادة الثقة والوظيفة للمراجعين. هذه الحالة توضح كيف تم تصحيح عضة عميقة شديدة ومشاكل في المفصل ناتجة عن علاج سابق.

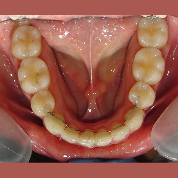
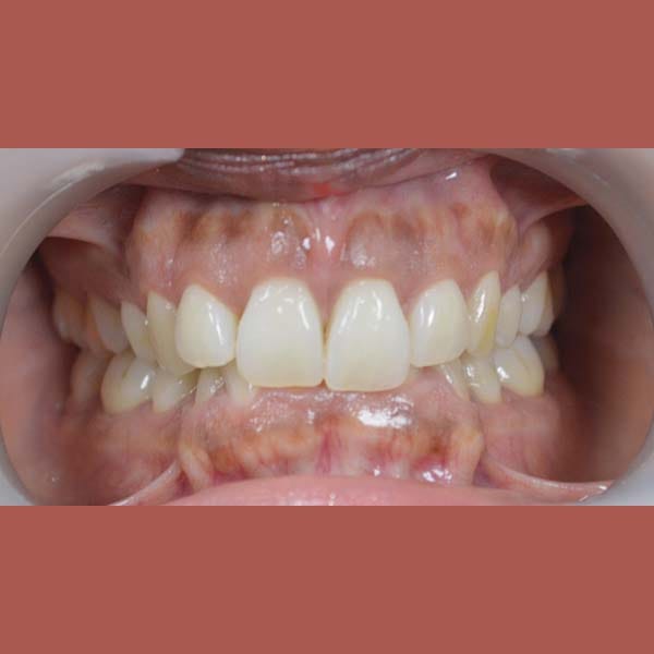
AFTER

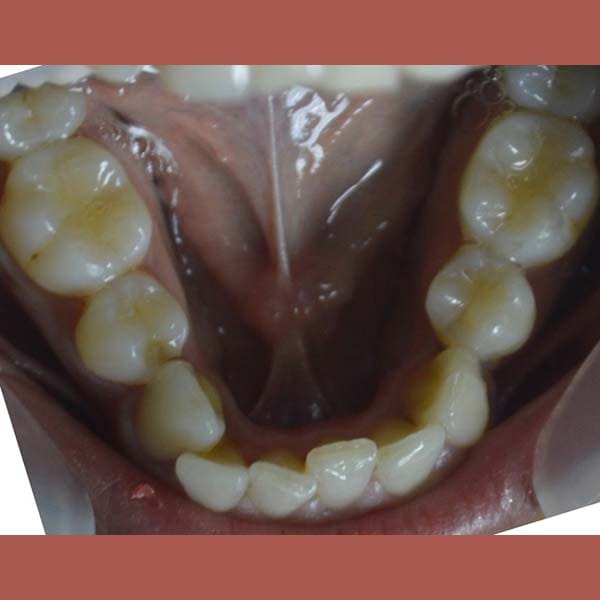
BEFORE




تفاصيل الحالة: من التشخيص إلى النتيجة
شكوى المراجع الأساسية:
راجعتني هذه الشابة بعد أن أجرت معالجة تقويمية سابقة مع قلع أسنان، والتي للأسف أدت إلى نتائج سلبية متعددة: عضة عميقة شديدة، ميلان حاد للأسنان الأمامية، تشوه في الابتسامة، بالإضافة إلى مشاكل في المفصل الفكي وأصوات مزعجة عند فتح الفم وإغلاقه.
خطة العلاج:
بعد تقييم الأضرار، وضع الدكتور خالد الكاتب خطة دقيقة لإعادة العلاج التقويمي. تركزت الخطة على:
النتيجة النهائية:
كما تظهر الصور، تم تصحيح جميع المشاكل الناتجة عن العلاج السابق بنجاح. تم تعديل ميلان الأسنان، وتوسيع الفك، والأهم من ذلك، تم حل مشكلة العضة العميقة. لن أنسى نظراتها وهي تنظر لابتسامتها الجديدة في المرآة بعد فك التقويم، فقد استعادت ابتسامتها الجذابة وثقتها بنفسها.
هل أنت غير راضٍ عن نتيجة تقويم أسنانك السابق؟
لا تفقد الأمل، فالحل قد يكون ممكناً. إعادة علاج تقويم الأسنان يمكن أن يصحح المشاكل ويمنحك الابتسامة التي طالما حلمت بها. أدعوك اليوم لحجز استشارة لتقييم حالتك ومناقشة الخيارات المتاحة.