SMILES
علاج العضة المفتوحة الناتجة عن مص الإصبع بالتقويم
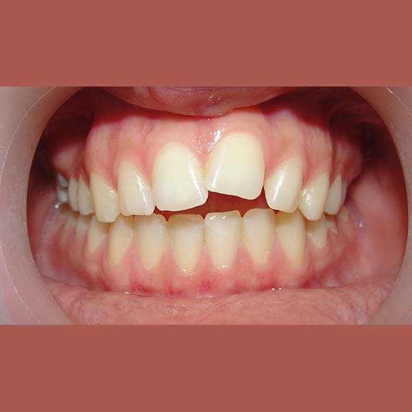
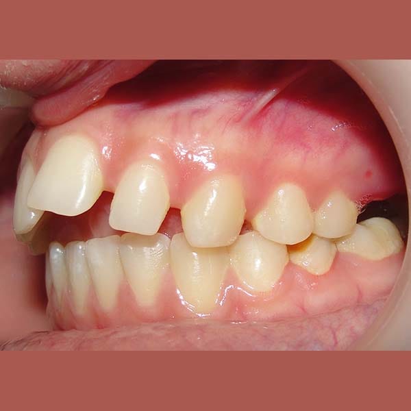
يمكن للعادات الفموية مثل مص الإصبع أن تسبب مشاكل كبيرة في الإطباق مثل العضة المفتوحة والبروز. بصفتي أخصائي تقويم أسنان في العين، أتعامل مع هذه الحالات لإصلاح الضرر واستعادة الوظيفة. هذه الحالة توضح كيفية علاج العضة المفتوحة بالتقويم بنجاح.

AFTER

BEFORE




تفاصيل الحالة: من التشخيص إلى النتيجة
شكوى المراجع الأساسية:
عانت مراجعتنا الشابة من مشكلة العضة المفتوحة وبروز الأسنان الأمامية العلوية منذ الطفولة. كان السبب الرئيسي هو عادة مص الإصبع التي استمرت معها لفترة طويلة حتى عمر 13 عاماً.
خطة العلاج:
بعد تقييم الحالة، وضع الدكتور خالد الكاتب خطة علاجية باستخدام تقويم الأسنان تهدف إلى عكس التأثيرات السلبية لعادة مص الإصبع. تم العمل على إرجاع الأسنان الأمامية البارزة إلى مكانها الصحيح، مما أدى إلى إغلاق العضة المفتوحة بشكل تدريجي.
النتيجة النهائية:
كما تظهر الصور، تم تصحيح البروز وإغلاق العضة المفتوحة بالكامل. الأهم من ذلك، استعادت مراجعتنا وظيفة أسنانها الأمامية وأصبح بإمكانها أن تقطع التفاح بأسنانها، والأجمل من ذلك، أصبح بإمكانها أن تبتسم بثقة أكبر.
هل يعاني طفلك من عادة فموية تؤثر على أسنانه؟
التدخل في الوقت المناسب يمكن أن يمنع تفاقم المشكلة. علاج العضة المفتوحة بالتقويم يعيد لأسنان طفلك وظيفتها وجمالها. أدعوك اليوم لحجز استشارة لتقييم الحالة ووضع خطة وقائية أو علاجية.