SMILES

AFTER

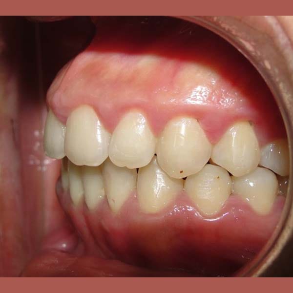
BEFORE




حالة بروز مضاعف للأسنان الأمامية – عضة مفتوحة أمامية – فراغات ما بين الأسنان في الفكين العلوي و السفلي
SMILES

AFTER

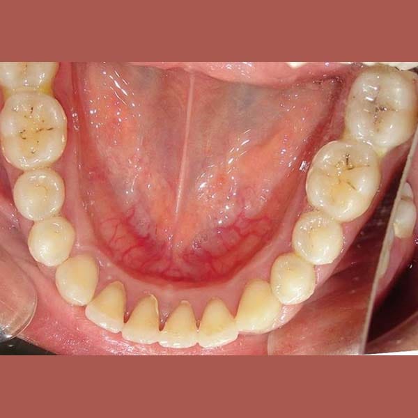
BEFORE




حالة بروز مضاعف للأسنان الأمامية – عضة مفتوحة أمامية – فراغات ما بين الأسنان في الفكين العلوي و السفلي