SMILES
علاج الناب المنطمر بالتقويم وسحبه لمكانه الصحيح
يعتبر انطمار الأنياب العلوية في العظم من الحالات التي تتطلب تدخلاً تقويمياً دقيقاً. بصفتي أخصائي تقويم أسنان في العين، أعمل على خطط علاجية تضمن إنزال هذه الأسنان بأمان. هذه الحالة توضح خطوات علاج الناب المنطمر بالتقويم، من فتح المسافة إلى جره لمكانه الصحيح.

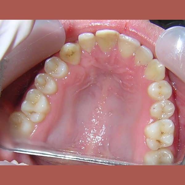
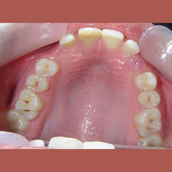
AFTER

BEFORE




تفاصيل الحالة: من التشخيص إلى النتيجة
شكوى المراجع الأساسية:
كانت المشكلة الرئيسية في هذه الحالة هي وجود ناب علوي منطمر بالكامل في عظم الفك، وغير قادر على البزوغ بشكل طبيعي.
خطة العلاج:
بعد التشخيص الدقيق، وضع الدكتور خالد الكاتب خطة علاجية من مرحلتين باستخدام تقويم الأسنان:
النتيجة النهائية:
كما تظهر الصور، تم إنزال الناب المنطمر بنجاح ورصفه بشكل مثالي مع بقية الأسنان. النتيجة هي ابتسامة كاملة وصحية، واستعادة سن مهم جداً لوظيفة الفم وجمال الابتسامة.
هل لديك سن منطمر أو لم يبزغ في مكانه؟
لا تتجاهل مشكلة الأسنان المنطمرة، فحلها ممكن. علاج الناب المنطمر بالتقويم هو إجراء دقيق يعيد لابتسامتك تكاملها. أدعوك اليوم لحجز استشارة لتقييم حالتك ومعرفة الخيارات المتاحة.