د. خالد الكاتب | أخصائي تقويم الأسنان
عيادتكم لتقويم الأسنان في مدينة العين – الإمارات
SMILES
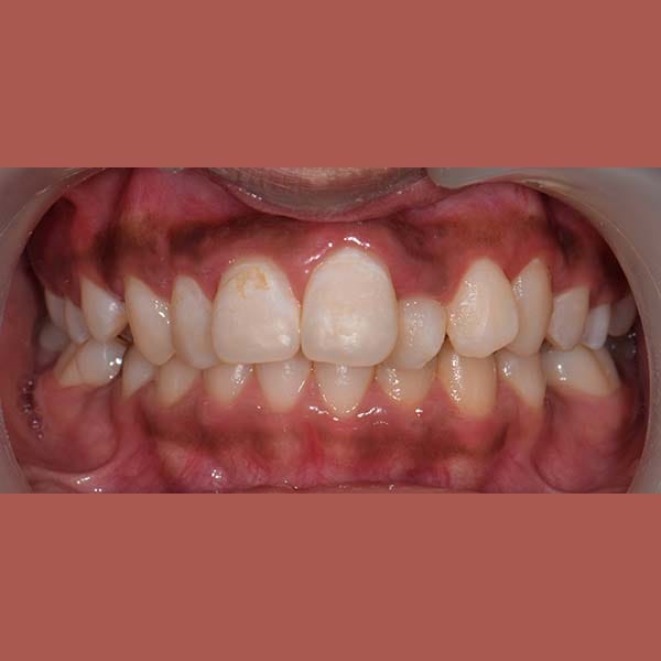
بعد
قبل
ابتسامة جميلة جدا
Username
Password
Remember me
Sign in
Lost your password?
لا توجد منتجات في سلة المشتريات.
Search Result