SMILES
علاج ازدحام الأسنان بدون خلع بالتقويم الخزفي
يعتبر التقويم الخزفي خياراً جمالياً ممتازاً للكثيرين، ولكن هل يمكنه حل المشاكل المعقدة؟ بصفتي أخصائي تقويم أسنان في العين، أؤكد فعاليته. هذه الحالة لزميلة طبية توضح نجاح علاج ازدحام الأسنان بدون خلع وتصحيح البروز باستخدام التقويم الخزفي فقط.

AFTER

BEFORE





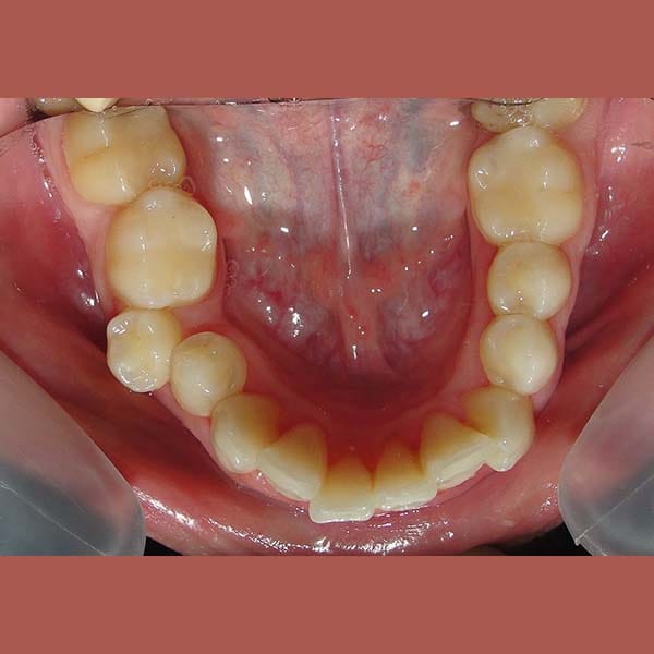
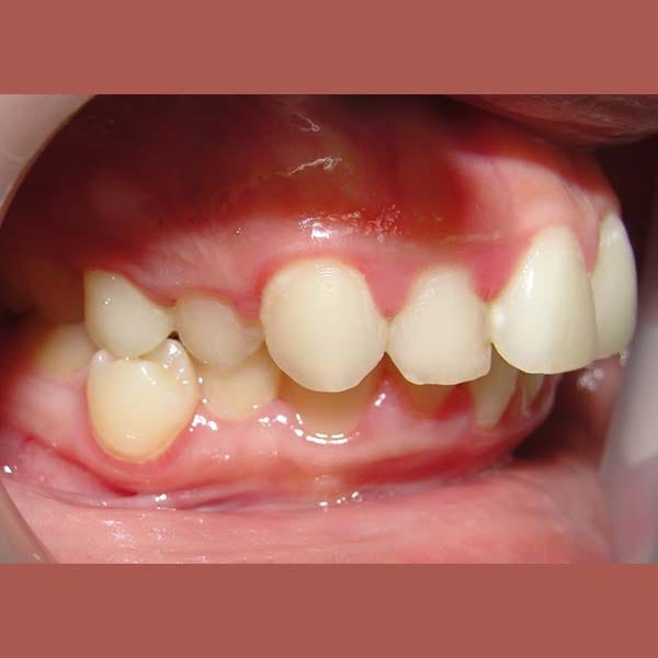
تفاصيل الحالة: من التشخيص إلى النتيجة
شكوى المراجع الأساسية:
راجعتني زميلة لي وهي تعاني من تراكب شديد في أسنانها السفلية، بالإضافة إلى بروز عام في الأسنان أثر على ابتسامتها بشكل سلبي. كان طلبها قاطعاً: إيجاد حل للمشكلة دون قلع أي سن.
خطة العلاج:
بعد دراسة الحالة، وضع الدكتور خالد الكاتب خطة علاجية تلبي رغبة المراجعة. تم اللجوء إلى التقويم الخزفي (الأبيض)، وتم من خلاله حل مشكلة التراكب الشديد بنجاح وتوفير المسافة اللازمة لرصف الأسنان، كل ذلك دون الحاجة للقلع. كما تم العمل على التخفيف من بروز الأسنان بنسبة كبيرة.
النتيجة النهائية:
كما تظهر الصور، تم حل مشكلة الازدحام بالكامل وتصحيح البروز بشكل ملحوظ. النتيجة هي ابتسامة جميلة ومتناسقة أعادت لزميلتي الثقة الكاملة بنفسها، مع الحفاظ على جميع أسنانها.
هل تبحث عن حل جمالي وفعال لمشاكل أسنانك؟
إذا كنت تعاني من ازدحام أو بروز وترغب في تجنب الخلع، فقد يكون التقويم الخزفي هو الحل. أدعوك اليوم لحجز استشارة لمناقشة حالتك واكتشاف الخيارات المتاحة لك.