SMILES

AFTER

BEFORE





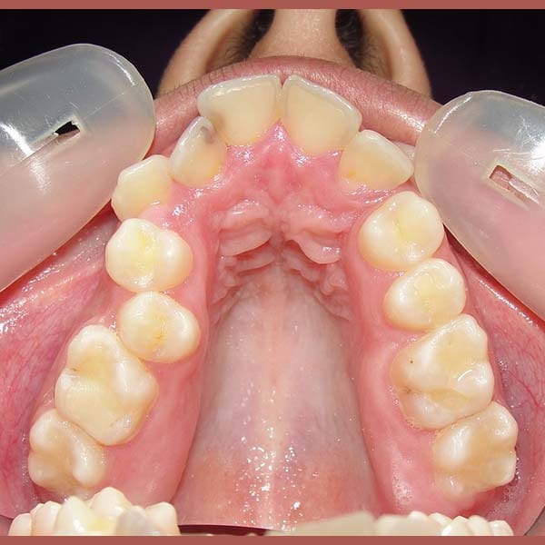
عانت هذه الشابة الصغيرة من تراكب شديد جداً في الأسنان وتضيق شديد في الفك العلوي. تمت معالجتها تقويمياً بالإضافة لقلع أسنان في الفكين وتوسيع الفك العلوي. في النهاية، بات بإمكان صديقتنا أن تبتسم بثقة مجدداً
SMILES

AFTER

BEFORE





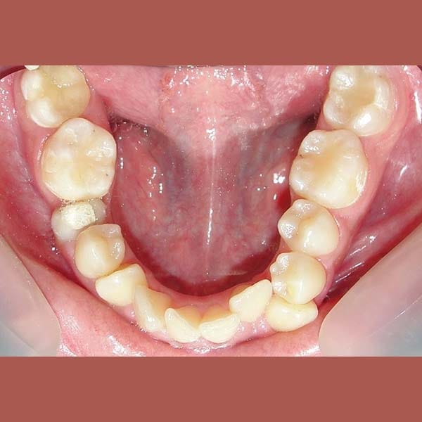
عانت هذه الشابة الصغيرة من تراكب شديد جداً في الأسنان وتضيق شديد في الفك العلوي. تمت معالجتها تقويمياً بالإضافة لقلع أسنان في الفكين وتوسيع الفك العلوي. في النهاية، بات بإمكان صديقتنا أن تبتسم بثقة مجدداً