SMILES
علاج بروز الأسنان بدون خلع باستغلال المسافات
هل يمكن علاج بروز الأسنان الشديد بدون الحاجة لقلع أسنان؟ في بعض الحالات، نعم. بصفتي أخصائي تقويم أسنان في العين، أبحث دائماً عن الحلول الأكثر تحفظاً. هذه الحالة هي مثال ممتاز على نجاح علاج بروز الأسنان بدون خلع، حيث تم استغلال المسافات الموجودة بين الأسنان لإرجاعها للخلف.

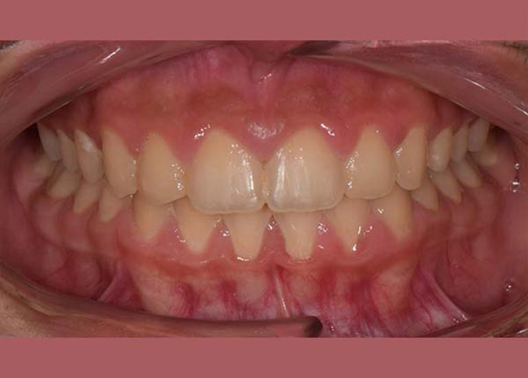
AFTER

BEFORE




تفاصيل الحالة: من التشخيص إلى النتيجة
شكوى المراجع الأساسية:
عانت هذه الفتاة من بروز شديد في أسنانها الأمامية العلوية، مما كان يؤثر على مظهر ابتسامتها وثقتها بنفسها.
خطة العلاج:
بعد الفحص الدقيق، لاحظ الدكتور خالد الكاتب وجود مسافات بين أسنان الفك العلوي. وبناءً على ذلك، تم وضع خطة علاج ذكية تعتمد على استغلال هذه المسافات الموجودة أصلاً لتصحيح البروز. تم استخدام تقويم الأسنان لإرجاع الأسنان الأمامية العلوية للخلف وإغلاق المسافات في نفس الوقت، كل ذلك دون الحاجة لقلع أي أسنان دائمة.
النتيجة النهائية:
كما تظهر الصور، تم تصحيح البروز بشكل كامل. تراجعت الأسنان الأمامية إلى وضعها المثالي، مما أدى إلى تحسين كبير في المظهر الجانبي للوجه وابتسامة أكثر تناسقاً وجمالاً. الأهم من ذلك، بات بإمكان هذه الفتاة الابتسام براحة وثقة مجدداً.
هل تعاني من بروز الأسنان وتفضل تجنب الخلع؟
قد يكون علاج بروز الأسنان بدون خلع هو الخيار المناسب لك، خاصة إذا كانت لديك مسافات بين أسنانك. أدعوك اليوم لحجز استشارة لتقييم حالتك ومناقشة أفضل الحلول المتاحة.