SMILES
علاج ازدحام الأسنان بدون خلع بتقويم الدايمون
هل يمكن علاج الازدحام الشديد والناب المرتفع بدون قلع أسنان؟ الجواب هو نعم في كثير من الحالات. بصفتي أخصائي تقويم أسنان في العين، يسعدني أن أشارككم هذه الحالة التي توضح فعالية علاج ازدحام الأسنان بدون خلع باستخدام تقويم الدايمون، الذي يوفر مساحة كافية لرصف الأسنان بشكل مثالي.

AFTER

BEFORE




تفاصيل الحالة: من التشخيص إلى النتيجة
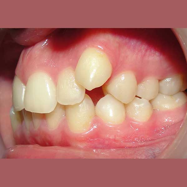
شكوى المراجع الأساسية:
راجعتني هذه الشابة وهي تعاني من ازدحام شديد في أسنانها، كان أبرز مظاهره بزوغ أحد أنيابها بشكل مرتفع وبعيد جداً عن مكانه الطبيعي في القوس السني. كان طلبها واضحاً: الحصول على ابتسامة مرتبة ولكن مع تجنب قلع أي أسنان.
خطة العلاج:
لحسن الحظ، وبعد دراسة الحالة، أكد الدكتور خالد الكاتب أن العلاج ممكن دون الحاجة للقلع. تم اختيار تقويم الدايمون (ذاتي الربط)، لما له من قدرة ممتازة على المساعدة في توسيع الفكين وتحريك الأسنان بفعالية لتوفير المسافة المطلوبة. سمحت هذه التقنية بحل الازدحام وإنزال الناب المرتفع إلى مكانه الصحيح.
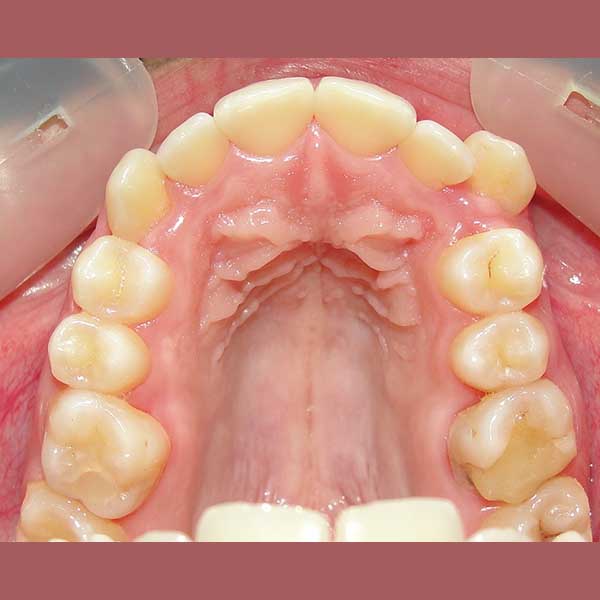
النتيجة النهائية:
كما تظهر الصور، نجحنا في رصف الأسنان بشكل ممتاز وتحقيق إطباق مثالي. عاد الناب المرتفع إلى مكانه الطبيعي ضمن ابتسامة متناسقة وجميلة، مما أعاد لمراجعتنا الثقة والسعادة بابتسامتها.
هل تعاني من ازدحام الأسنان وترغب بتجنب الخلع؟
التقنيات الحديثة في تقويم الأسنان قد تجعل علاج ازدحام الأسنان بدون خلع ممكناً لحالتك. لا تتردد في أخذ رأي خبير. أدعوك اليوم لحجز استشارة لمناقشة الخيارات المتاحة لك.