SMILES
علاج الأنياب المنطمرة بالتقويم للكبار: حالة من العين
تُعد الأنياب المنطمرة من أكثر الحالات التقويمية تعقيداً، خاصة لدى البالغين. بصفتي دكتور تقويم اسنان في العين بالإمارات، أؤكد أن العمر ليس عائقاً أمام الحصول على ابتسامة صحية. هذه الحالة المعقدة توضح نجاح علاج الأنياب المنطمرة بالتقويم وسحبها جراحياً لمريضة بالغة، مما أعاد لها وظيفة الفم وجمال الابتسامة.

AFTER

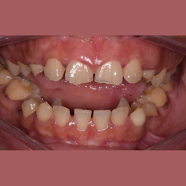
BEFORE





تفاصيل الحالة: من التشخيص إلى النتيجة
شكوى المراجع الأساسية:
راجعتني هذه السيدة وهي تعاني من مشاكل معقدة؛ فأنيابها العلوية الدائمة لم تبزغ أبداً، وبقيت الأنياب اللبنية في مكانها. بالإضافة إلى ذلك، كانت أنيابها السفلية بازغة للداخل، مما سبب لها صعوبات كبيرة في الأكل والنطق وأفقدها الثقة بابتسامتها لدرجة أنها رفضت تصويرها في البداية.
خطة العلاج:
بعد الفحص وأخذ الصور الشعاعية، أوضح الدكتور خالد الكاتب أن الأنياب العلوية موجودة ولكنها منطمرة بالكامل في عظم الفك، بالإضافة لوجود ضاحك سفلي منطمر أيضاً. وبسبب كبر سن المريضة، كان لا بد من خطة علاج متكاملة:
النتيجة النهائية:
كما تظهر الصور، كانت النتيجة تحولاً جذرياً. تم سحب جميع الأسنان المنطمرة ورصفها في مكانها الطبيعي، وتم تصحيح وضع الأسنان السفلية. في نهاية العلاج، طلبت السيدة بنفسها وبكل ثقة أخذ صورة لابتسامتها الجديدة التي طالما حلمت بها.
هل تعاني من أسنان منطمرة أو لم تبزغ؟
لا تدع مشكلة الأسنان المنطمرة تؤثر على حياتك بعد الآن. علاج الأنياب المنطمرة بالتقويم هو حل فعال وممكن حتى للبالغين. أدعوك اليوم لمناقشة حالتك واكتشاف كيف يمكننا استعادة ابتسامتك.