SMILES
علاج الفراغات بين الأسنان بالتقويم: حالة من العين
تُعد الفراغات بين الأسنان، وخاصة “الفلجة” بين الأسنان الأمامية، من الحالات الشائعة التي تؤثر على جمال الابتسامة. بصفتي دكتور تقويم اسنان في العين بالإمارات، أؤكد أن علاج الفراغات بين الأسنان بالتقويم هو حل فعال ومثالي، خاصة عندما يكون سبب المشكلة هو عدم تناسق حجم الأسنان مع الفكين. هذه الحالة توضح كيف يمكن تحقيق نتيجة رائعة بالتقويم وحده.

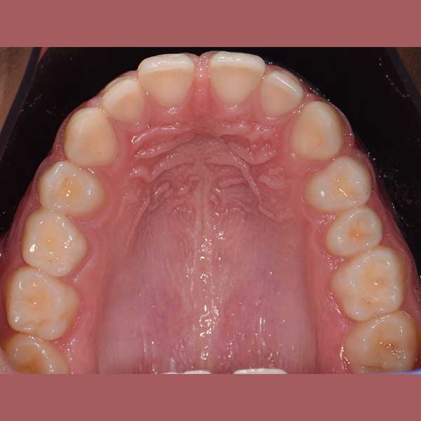
AFTER

BEFORE





تفاصيل الحالة: من التشخيص إلى النتيجة
شكوى المراجع الأساسية:
راجعتني هذه الشابة الصغيرة وهي منزعجة من وجود فراغات بين أسنانها، وبالتحديد من وجود “فلج” كبير بين الثنيتين العلويتين.
خطة العلاج:
بعد الفحص الدقيق، أوضح الدكتور خالد الكاتب أن سبب المشكلة هو أن حجم أسنانها كان أصغر من حجم فكيها. وبناءً على رغبة الأهل في تجنب الحشوات التجميلية أو القشور الخزفية، تم اتخاذ قرار علاج الفراغات بين الأسنان باستخدام تقويم الأسنان فقط. تم وضع خطة دقيقة لإغلاق جميع المسافات وتوزيع الأسنان بشكل متناسق.
النتيجة النهائية:
كما تظهر الصور، تم إغلاق جميع الفراغات بنجاح، بما في ذلك الفلجة الأمامية. النتيجة هي ابتسامة جميلة ومتراصة، أعادت الثقة لهذه الشابة الصغيرة ورسمت البسمة على وجهها، كل ذلك مع الحفاظ على الحجم الطبيعي لأسنانها.
هل تزعجك الفراغات بين أسنانك؟
سواء كانت فلجة كبيرة أو فراغات متعددة، فإن الحل موجود. علاج الفراغات بين الأسنان بالتقويم يمكن أن يمنحك الابتسامة المتراصة التي تحلم بها. أدعوك اليوم لمناقشة حالتك ومعرفة الخيارات المتاحة.