SMILES
علاج العضة المعكوسة الأمامية بالتقويم: حالة من العين
تعتبر العضة المعكوسة الأمامية من الحالات التي تتطلب تدخلاً علاجياً ليس فقط لأسباب جمالية، بل لوظائف حيوية مثل مضغ الطعام. بصفتي دكتور تقويم اسنان في العين بالإمارات، أؤكد أن علاج العضة المعكوسة الأمامية بالتقويم يمكن أن يعيد للابتسامة وظيفتها وجمالها. هذه الحالة هي مثال واضح على كيفية تحقيق نتائج ممتازة بدون الحاجة لقلع أي أسنان.

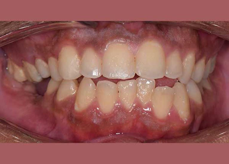
AFTER

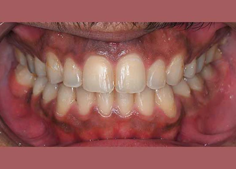
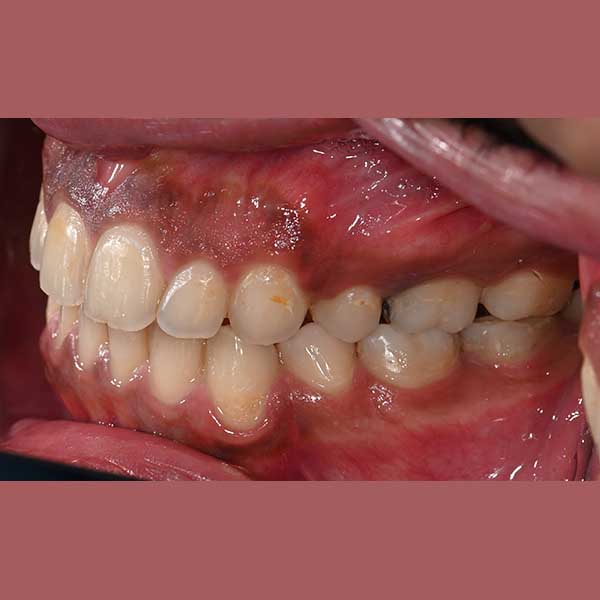
BEFORE




تفاصيل الحالة: من التشخيص إلى النتيجة
شكوى المراجع الأساسية:
كان المراجع يعاني من عضة معكوسة أمامية، حيث كانت أسنانه السفلية تتقدم على أسنانه العلوية. هذا الوضع لم يكن يسبب فقط مظهراً غير مرغوب فيه للابتسامة، بل أيضاً صعوبة حقيقية في مضغ الطعام.
خطة العلاج:
وفقاً لما قرره الدكتور خالد الكاتب، تم وضع خطة علاجية دقيقة تهدف إلى تصحيح العلاقة بين الفكين بدون قلع أي أسنان. تم الاعتماد على التقويم المعدني التقليدي لتحريك الأسنان بشكل فعال وتصحيح العضة المعكوسة.
النتيجة النهائية:
كما تظهر الصور، تم بنجاح تصحيح العضة المعكوسة الأمامية بالكامل. استعادت الابتسامة مظهرها الطبيعي والمتناسق، والأهم من ذلك، استعاد المراجع قدرته على مضغ الطعام بشكل مريح وسليم. النتيجة هي ابتسامة صحية وجميلة تعكس نجاح العلاج.
هل تعاني من عضة معكوسة؟
إذا كانت أسنانك السفلية تتقدم على العلوية، فلا تتجاهل الأمر. علاج العضة المعكوسة الأمامية هو استثمار في صحتك وثقتك. أدعوك اليوم لمناقشة حالتك ومعرفة كيف يمكننا مساعدتك. تواصل مع د. خالد الكاتب، خبير تقويم الأسنان في العين، لحجز استشارتك