SMILES
علاج بروز الأسنان الناتج عن تراجع الفك السفلي بالجهاز الوظيفي
عندما يكون سبب بروز الأسنان هو تراجع الفك السفلي، فإن الحل الأمثل هو التدخل المبكر. بصفتي أخصائي تقويم أسنان في العين، أستخدم الأجهزة الوظيفية لتوجيه النمو. هذه الحالة توضح كيفية علاج بروز الأسنان بالجهاز الوظيفي بنجاح وتأثيره الرائع على ملامح الوجه.

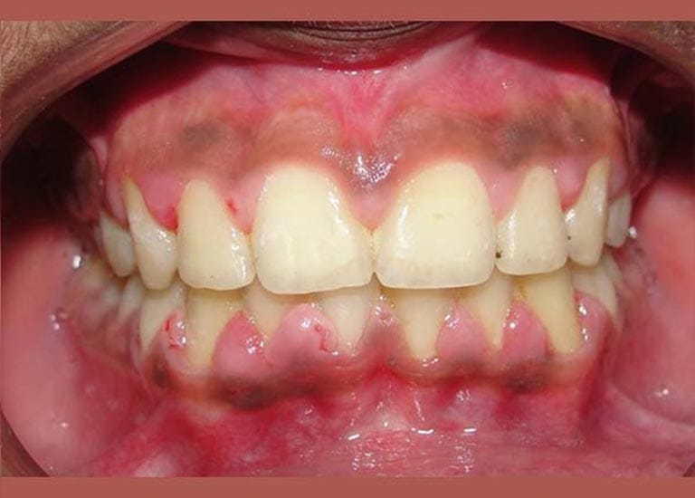
AFTER

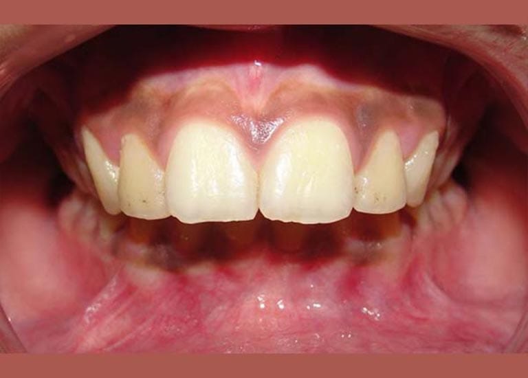
BEFORE





تفاصيل الحالة: من التشخيص إلى النتيجة
شكوى المراجع الأساسية:
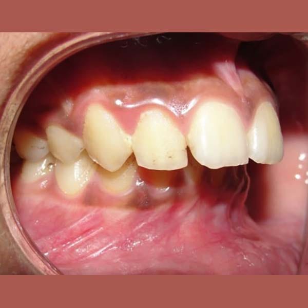
عانى هذا الشاب اليافع من بروز شديد في الأسنان وصل إلى 1 سم، وكان سببه الرئيسي هو تراجع الفك السفلي، وهو ما كان يظهر بوضوح على بروفيل وجهه الجانبي.
خطة العلاج:
تم العلاج على مرحلتين لاستغلال فترة النمو:
النتيجة النهائية:
كما تظهر الصور، كان التحسن جذرياً ليس فقط في الابتسامة ولكن في تناسق ملامح الوجه بالكامل. تم تصحيح البروز، وتحسنت علاقة الفكين، وحصل الشاب على ابتسامة جميلة وواثقة.
هل يعاني ابنك من بروز في الأسنان أو تراجع في الفك؟
التشخيص المبكر هو مفتاح العلاج الناجح. علاج بروز الأسنان بالجهاز الوظيفي يمكن أن يجنب ابنك الحاجة إلى حلول أكثر تعقيداً في المستقبل. أدعوك اليوم لحجز استشارة لتقييم حالته.