SMILES
علاج بروز الأسنان الناتج عن تراجع الفك السفلي بالجهاز الوظيفي
عندما يكون سبب بروز الأسنان هو تراجع الفك السفلي، فإن الحل الأمثل هو التدخل المبكر. بصفتي أخصائي تقويم أسنان في العين، أستخدم الأجهزة الوظيفية لتوجيه النمو. هذه الحالة توضح كيفية علاج بروز الأسنان بالجهاز الوظيفي بنجاح وتأثيره الرائع على ملامح الوجه.

AFTER

BEFORE





تفاصيل الحالة: من التشخيص إلى النتيجة
شكوى المراجع الأساسية:
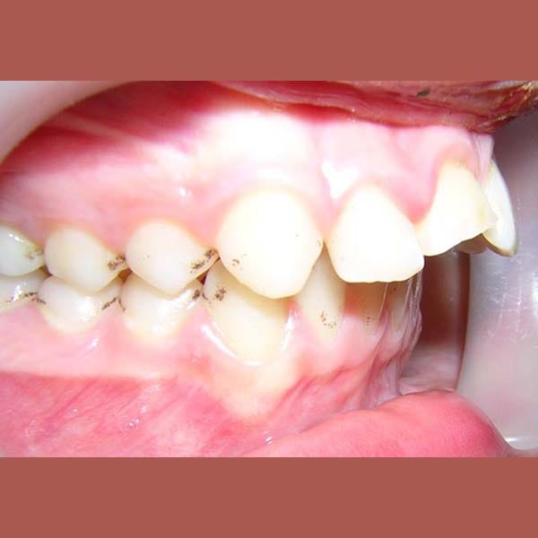
عانت هذه الفتاة الصغيرة من بروز شديد في الأسنان وصل إلى 1 سم، وكان سببه الرئيسي هو تراجع الفك السفلي، وهو ما كان يظهر بوضوح على بروفيل وجهها الجانبي.
خطة العلاج:
تم العلاج على مرحلتين لاستغلال فترة النمو:
النتيجة النهائية:
كما تظهر الصور، كان التحسن جذرياً ليس فقط في الابتسامة ولكن في تناسق ملامح الوجه بالكامل. تم تصحيح البروز، وتحسنت علاقة الفكين، وحصلت صديقتنا الصغيرة على ابتسامة جميلة وواثقة.
هل يعاني طفلك من بروز في الأسنان أو تراجع في الفك؟
التشخيص المبكر هو مفتاح العلاج الناجح. علاج بروز الأسنان بالجهاز الوظيفي يمكن أن يجنب طفلك الحاجة إلى حلول أكثر تعقيداً في المستقبل. أدعوك اليوم لحجز استشارة لتقييم حالة طفلك.