ابتسامة-38
أسنان منطمرة في العظم, أضراس خلفية مائلة, ابتسامات, ازدحام أسنان, بروز أسنان أمامية علوية, بروز مضاعف للأسنان الأمامية, عضة عميقة, عضة معكوسة أمامية, عضة معكوسة خلفية, عضة مفتوحة, فراغات بين الأسنان, نقص في سن أو عدة أسنان
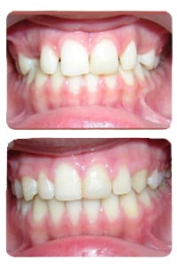
ابتسامة-36
أسنان منطمرة في العظم, أضراس خلفية مائلة, ابتسامات, ازدحام أسنان, بروز أسنان أمامية علوية, بروز مضاعف للأسنان الأمامية, عضة عميقة, عضة معكوسة أمامية, عضة معكوسة خلفية, عضة مفتوحة, فراغات بين الأسنان, نقص في سن أو عدة أسنان
حالة 34: علاج ناب علوي منطمر
أسنان منطمرة في العظم, ابتسامات, ازدحام أسنان, بروز مضاعف للأسنان الأمامية
حالة 33: تعديل أضراس مائلة ومنطمرة
أسنان منطمرة في العظم, أضراس خلفية مائلة, ابتسامات, ازدحام أسنان, بروز أسنان أمامية علوية, بروز مضاعف للأسنان الأمامية, عضة عميقة, عضة معكوسة أمامية, عضة معكوسة خلفية, عضة مفتوحة, فراغات بين الأسنان, نقص في سن أو عدة أسنان
ابتسامة-32
أسنان منطمرة في العظم, أضراس خلفية مائلة, ابتسامات, ازدحام أسنان, بروز أسنان أمامية علوية, بروز مضاعف للأسنان الأمامية, عضة عميقة, عضة معكوسة أمامية, عضة معكوسة خلفية, عضة مفتوحة, فراغات بين الأسنان, نقص في سن أو عدة أسنان
ابتسامة-31
أسنان منطمرة في العظم, أضراس خلفية مائلة, ابتسامات, ازدحام أسنان, بروز أسنان أمامية علوية, بروز مضاعف للأسنان الأمامية, عضة عميقة, عضة معكوسة أمامية, عضة معكوسة خلفية, عضة مفتوحة, فراغات بين الأسنان, نقص في سن أو عدة أسنان