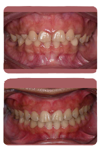
ابتسامة-68 علاج الازدحام الشديد
أسنان منطمرة في العظم, أضراس خلفية مائلة, ابتسامات, ازدحام أسنان, بروز أسنان أمامية علوية, بروز مضاعف للأسنان الأمامية, عضة عميقة, عضة معكوسة أمامية, عضة معكوسة خلفية, عضة مفتوحة, فراغات بين الأسنان, نقص في سن أو عدة أسنان
حالة 61: علاج فراغات الأسنان (الفلجة)
أسنان منطمرة في العظم, أضراس خلفية مائلة, ابتسامات, ازدحام أسنان, بروز أسنان أمامية علوية, بروز مضاعف للأسنان الأمامية, عضة عميقة, عضة معكوسة أمامية, عضة معكوسة خلفية, عضة مفتوحة, فراغات بين الأسنان, نقص في سن أو عدة أسنان
ابتسامة-58
أسنان منطمرة في العظم, أضراس خلفية مائلة, ابتسامات, ازدحام أسنان, بروز أسنان أمامية علوية, بروز مضاعف للأسنان الأمامية, عضة عميقة, عضة معكوسة أمامية, عضة معكوسة خلفية, عضة مفتوحة, فراغات بين الأسنان, نقص في سن أو عدة أسنان
حالة 57: علاج ازدحام الأسنان (بدون خلع)
أسنان منطمرة في العظم, أضراس خلفية مائلة, ابتسامات, ازدحام أسنان, بروز أسنان أمامية علوية, بروز مضاعف للأسنان الأمامية, عضة عميقة, عضة معكوسة أمامية, عضة معكوسة خلفية, عضة مفتوحة, فراغات بين الأسنان, نقص في سن أو عدة أسنان
ابتسامة-53
أسنان منطمرة في العظم, أضراس خلفية مائلة, ابتسامات, ازدحام أسنان, بروز أسنان أمامية علوية, بروز مضاعف للأسنان الأمامية, عضة عميقة, عضة معكوسة أمامية, عضة معكوسة خلفية, عضة مفتوحة, فراغات بين الأسنان, نقص في سن أو عدة أسنان