SMILES

AFTER

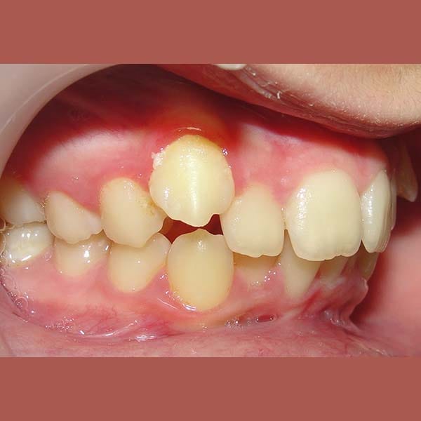
BEFORE





This young lady has visited us with her family, when her mother asked me to do anything possible to modify her daughter’s smile, and correct her upper canines position, which had erupted higher than normal and were protruding outward. She was treated by orthodontics, by only expanding her jaw a little and opening a sufficient distance for the canines to grow and settle in their proper place, and fortunately, without the need to any tooth extraction. The moment the braces were removed, the mother was happier than her daughter, when noticing how beautiful her smile is!