SMILES

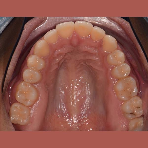
AFTER

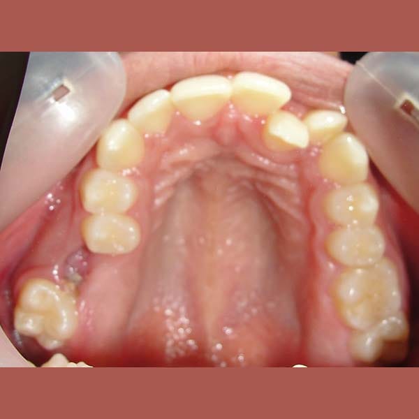
BEFORE




Our young friend suffered from insufficient spaces for her teeth to align properly, which caused her a reverse bite in some of the front teeth.
She also suffered from a severe gummy smile and had a gap resulting from the extraction of an upper molar.
And because she didn’t want to use dental implants, we had to close the gap by moving the molars located behind it forward. This made the situation more difficult and complicated
The teeth overlay was treated orthodontically by means of fixed braces and without any tooth extraction. We also pulled the posterior molars forward to close the gap successfully, and the gummy smile was almost solved without the need for surgery.