SMILES

AFTER

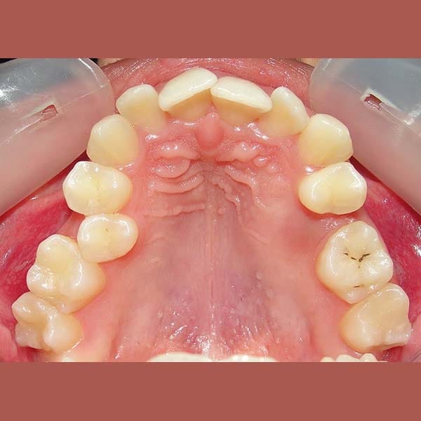
BEFORE





- This young woman suffered from an upper jaw stenosis, crowded teeth, and the absence of one of the upper molars.
She was treated with Daimon braces (an orthodontic device that doesn’t require rubber to fix the archwires, which reduces friction and speeds up treatment).
At the end of the treatment, we were able to see a clear expansion in her upper jaw, her teeth were aligned beautifully, and the gap resulting from the absence of the molar was closed orthodontically.