SMILES

AFTER

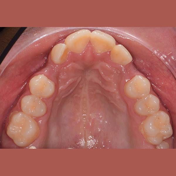
BEFORE




This girl suffered from severe upper jaw stenosis, which negatively affected her smile,
suppressed the beauty of her white teeth when smiling, and also led to a buried upper-right canine in the bone, and a reverse bite in the back teeth.
We have treated her by means of Daimon braces without any tooth extraction and opened a space for the buried canine to stand in its proper position. In the end, our little friend gained a wide and beautiful smile.