SMILES

AFTER

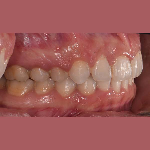
BEFORE





This lady visited me complaining that her upper teeth cover the lower ones excessively.
Examination revealed a severe deep bite, covering almost all parts of the lower teeth, in addition to a severe backward tilt in her upper front teeth, which affected the beauty of her smile.
Fortunately, this woman did not suffer from problems in her joint before the date of her visit to the clinic, Since these cases usually persist for a long time, causing pain and problems in the joint, (due to the patient’s need to open his mouth widely, each time he wants to free his lower jaw from the upper teeth)
Our lady was treated using fixed braces, the tilt in her upper front teeth was adjusted, and the space of their coverage was reduced.
At the end of the treatment, she was able to smile with comfort and confidence again