SMILES

AFTER

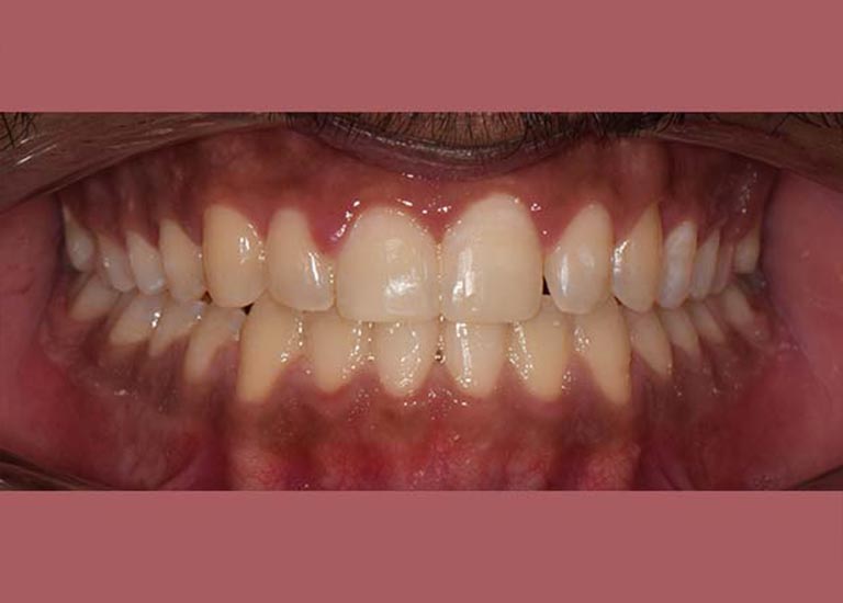
BEFORE





This kind young man visited me over 5 years ago suffering from excessive backward tilt in his upper front teeth.
Examination revealed an anterior crossbite in his teeth. By means of fixed metal braces, this problem has been completely treated and our friend could finally smile with confidence again.