SMILES

AFTER

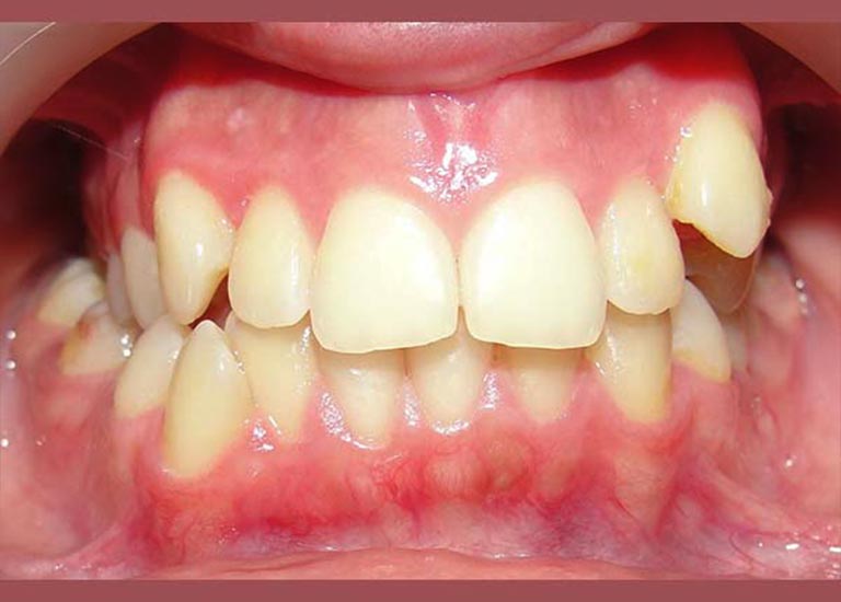
BEFORE





This young woman has visited me several years ago suffering from severe crowding in her teeth, even that one of her fangs has erupted far and high from its normal place!
She asked me to treat her and straighten her teeth, but without any tooth extraction. And fortunately, in her case, it was possible to perform the treatment without tooth extraction. I chose to use self-ligating braces (Daimon braces), which are useful to move the teeth and widen the jaws. At the end of the treatment, we succeeded in perfectly aligning the teeth, and our young woman could finally smile happily and with confidence.