SMILES

AFTER

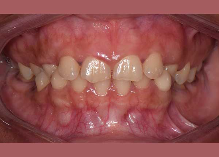
BEFORE




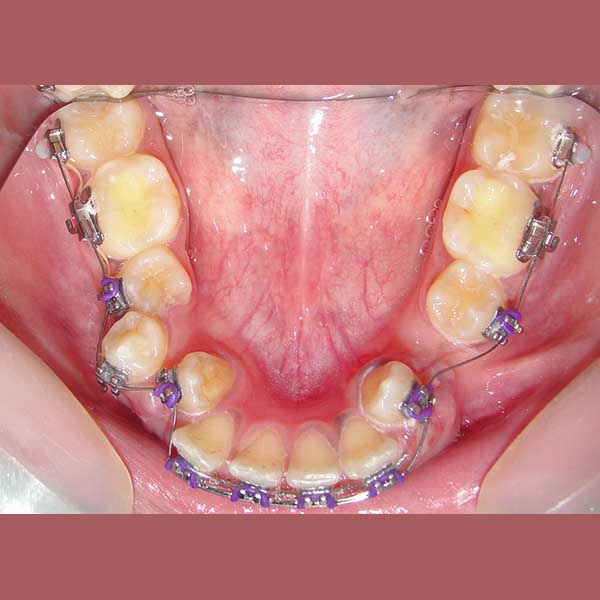
Case: Impacted upper canines – severe overlap – fixed orthodontics
Since she was a child, this woman has suffered from an impacted upper canine -they didn’t erupt in their normal place- and her milky canines were still in her mouth.
She was complaining about the emergence of her lower canines inward, which causes her big problems in eating and speech, and she wasn’t able to smile comfortably, she even refused To photograph her smile at first.
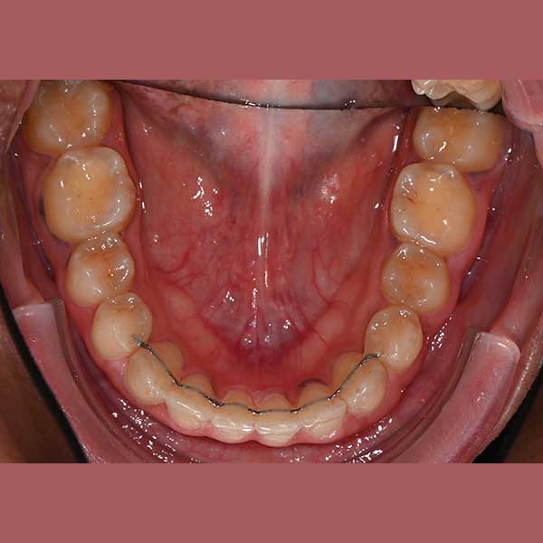
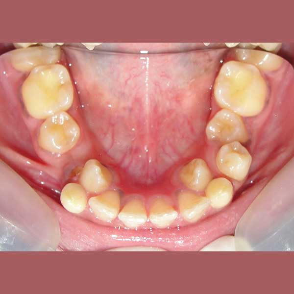
By examining the case and taking X-rays, I observed the upper canines in her mouth, and an embedded lower premolar was observed too on the left side, I started the treat the case, but because of the old age of this lady, the upper canines and the left lower premolar did not erupt on their own after we extracted the temporary canines, and she had to pull them out by braces. As for the lower jaw; The canines were pulled back in place and the embedded premolar was orthodontically pulled.
At the end of treatment she asked me to photograph her on her own, because she was happy, and she was able to smile confidently again!