SMILES

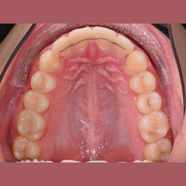
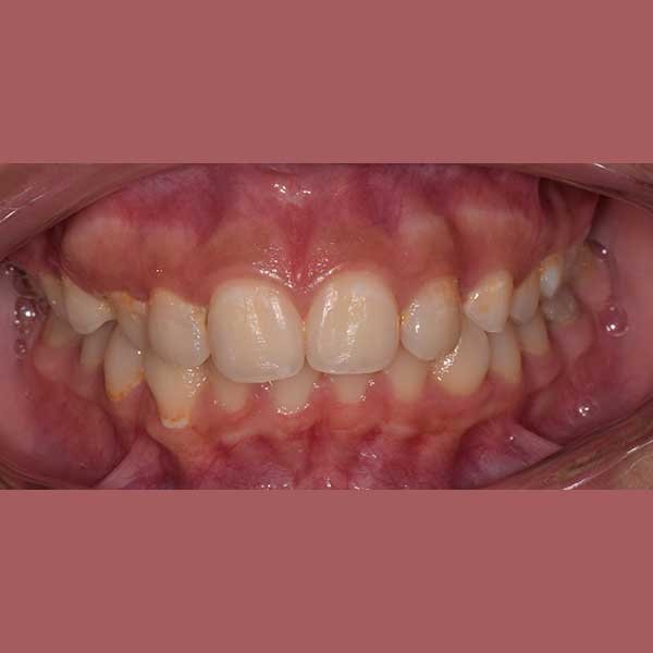
AFTER

BEFORE




This young woman was suffering from overlapping of her teeth and a lack of sufficient distance of her upper left canine to settle in its natural place, which led to it remaining prominent and higher than the rest of the upper teeth, in addition to the overlapping of her lower teeth greatly, which leads to her inability to clean her teeth well and sedimentation Tartar layers quickly and continuously on these teeth from the back.
By examining the case, it became clear to me that the treatment can be carried out without tooth extraction, through the daemon orthodontic (self-straightening tie), which facilitates the process of expanding the jaws and solving the problem of overlapping.
At the end of the treatment she got back her beautiful smile and to get her confident smile again!