SMILES

AFTER

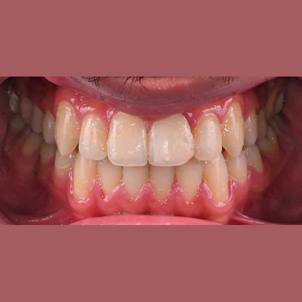
BEFORE




This young man has suffered from an open bite between his front teeth, in addition to the protrusion of his front teeth outward and crowding of his teeth, especially the lower ones and their lack of alignment.
After Examing the case I treat it by extracting the upper premolars and one lower premolar.
Fixed metal braces were used to align the teeth, reduce the prominence of the upper and lower front teeth, and close the open bite between them.
Finally, our young friend has got back his smile with confidence again.