SMILES

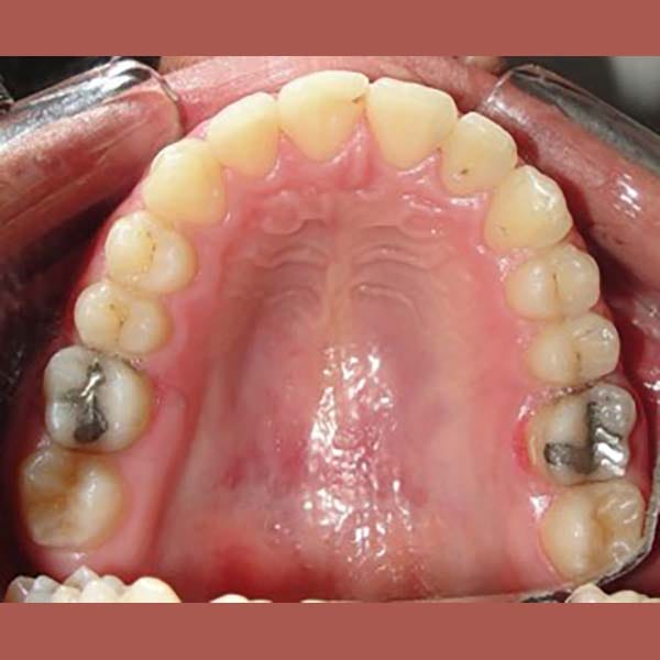
AFTER

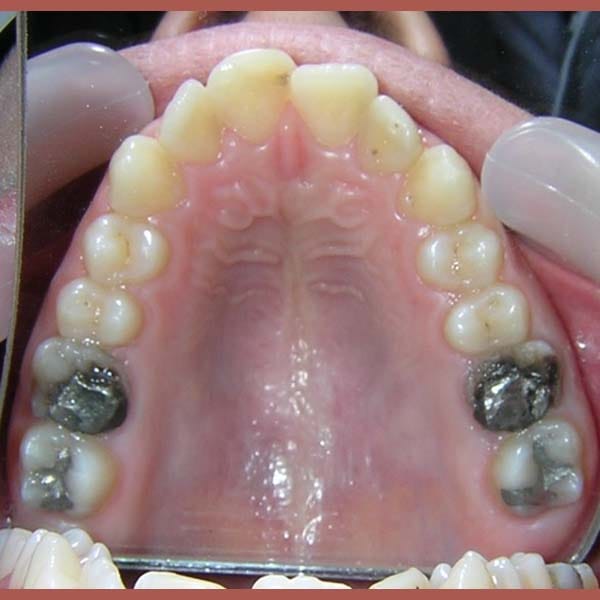
BEFORE





This young man visited me due to the severe protrusion in his teeth. Upon examination, I noticed the presence of molars with large fillings, which are not expected to endure for a long time.
So we decided to extract these two molars and use their space to return the front teeth back, in the end, our friend regained his beautiful smile again.