حالة 48: علاج عضة معكوسة أمامية شديدة
ابتسامات, عضة معكوسة أمامية, عضة مفتوحة, فراغات بين الأسنان, نقص في سن أو عدة أسنان
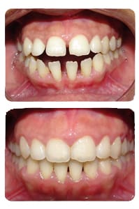
حالة 46: علاج عضة معكوسة أمامية
أسنان منطمرة في العظم, أضراس خلفية مائلة, ابتسامات, ازدحام أسنان, بروز أسنان أمامية علوية, بروز مضاعف للأسنان الأمامية, عضة عميقة, عضة معكوسة أمامية, عضة معكوسة خلفية, عضة مفتوحة, فراغات بين الأسنان, نقص في سن أو عدة أسنان
ابتسامة-38
أسنان منطمرة في العظم, أضراس خلفية مائلة, ابتسامات, ازدحام أسنان, بروز أسنان أمامية علوية, بروز مضاعف للأسنان الأمامية, عضة عميقة, عضة معكوسة أمامية, عضة معكوسة خلفية, عضة مفتوحة, فراغات بين الأسنان, نقص في سن أو عدة أسنان
ابتسامة-36
أسنان منطمرة في العظم, أضراس خلفية مائلة, ابتسامات, ازدحام أسنان, بروز أسنان أمامية علوية, بروز مضاعف للأسنان الأمامية, عضة عميقة, عضة معكوسة أمامية, عضة معكوسة خلفية, عضة مفتوحة, فراغات بين الأسنان, نقص في سن أو عدة أسنان
حالة 33: تعديل أضراس مائلة ومنطمرة
أسنان منطمرة في العظم, أضراس خلفية مائلة, ابتسامات, ازدحام أسنان, بروز أسنان أمامية علوية, بروز مضاعف للأسنان الأمامية, عضة عميقة, عضة معكوسة أمامية, عضة معكوسة خلفية, عضة مفتوحة, فراغات بين الأسنان, نقص في سن أو عدة أسنان
ابتسامة-32
أسنان منطمرة في العظم, أضراس خلفية مائلة, ابتسامات, ازدحام أسنان, بروز أسنان أمامية علوية, بروز مضاعف للأسنان الأمامية, عضة عميقة, عضة معكوسة أمامية, عضة معكوسة خلفية, عضة مفتوحة, فراغات بين الأسنان, نقص في سن أو عدة أسنان