Functional Orthodontics
Teeth protrusion is a common problem around the world that may result from one of more of the following reasons: 1- Protrusion of the upper jaw, or the backward retrusion…
Teeth protrusion is a common problem around the world that may result from one of more of the following reasons: 1- Protrusion of the upper jaw, or the backward retrusion…
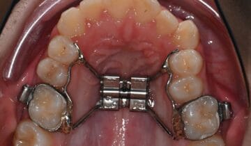
This device is the ideal therapeutic procedure for upper jaw narrowness, which is a result of many problems such as: 1-Mouth breathing, which is considered a breathing disorder. If the…
Children orthodontics stands for any orthodontic treatment performed for children under the age of ten years, especially before the completion of permanent teeth eruption. These treatments can be called “preventive…
Orthognathic surgery is an orthodontic treatment that combines orthodontic and surgical treatments performed on the upper jaw, the lower jaw, or both. And therefore, to accomplish this type of treatment,…
An improved version of the conventional braces, enjoy a shorter treatment journey
Align your teeth and smile with confidence
Braces that has a similar color of your teeth color, correct your teeth alignment without affecting your smile
A modern orthodontic treatment, treat your teeth conveniently, with no pain or Embarrassment.