Orthognathic surgery is an orthodontic treatment that combines orthodontic and surgical treatments performed on the upper jaw, the lower jaw, or both. And therefore, to accomplish this type of treatment, we need the help of a working team consisting of:
1- Orthodontist: who makes the treatment plan and fixing orthodontic braces in the first phase of treatment to prepare the jaws for surgery. He also continues the orthodontic treatment after the end of the surgical part of treatment.
2- Maxillofacial surgeon: He follows up the case at intervals in cooperation with the orthodontist and performs orthodontic jaw surgery when the jaws are fully prepared for it.
Orthognathic surgery is a necessary and indispensable procedure in some cases, where orthodontic treatment alone cannot be enough, such as:
1- Severe protrusion in one or both of the jaws.


2- Severe retrusion in one or both of the jaws.

3- Severe gummy smile (excessive appearance of the gum during smiling).
4- Obvious lower Jaw-deviation to the right or to the left.


5- Airway Narrowness, which can lead to sleep apnea.
Some people may ask about the possibility of treating previously presented cases without surgery, by means of orthodontic braces or invisible aligners alone. In fact, orthodontic treatment can be performed without surgery, but unfortunately, this often has negative effects on:
1- The beauty of the facial profile
2- The effectiveness of the chewing function
3- The stability of the occlusion after the end of the orthodontic treatment (in some cases, teeth may return to their previous positions in the absence of stability of occlusion).
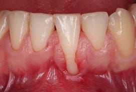
4- Negative effect on the gum (Gingival recession and exposure in the roots of the teeth) and teeth roots (resorption in teeth roots ) if they were moved too much, in order to treat the problems caused by defects in the jaws
5-In case of Airway narrowness, orthodontics alone may not provide desired or even clear results to the patient.
I have frequently been asked about the steps involved in performing surgical orthodontics. Here I will briefly explain the steps that patients go through from the beginning until the very last stage of treatment:
1- Visiting the orthodontist, where he takes a digital impression of the teeth via the scanner, in addition to the necessary x-rays and photographs of the face, and performs a comprehensive clinical examination of the patient teeth and jaws.
2- The orthodontist performs a comprehensive study of the case and consults a maxillofacial surgery specialist, After that, the patient makes an appointment with the surgeon, (It is recommended that the two doctors attend this appointment together, in case they both work in the same center or hospital)
3- After the treatment plan is jointly developed by the orthodontist and the surgeon, the braces are installed on the teeth by the orthodontist.
4- teeth are moved orthodontically through braces, and the jaws are prepared (to fit together stably in normal occlusion position) after performing the surgery and moving one or both jaws to the correct position). The surgery is performed while the fixed braces are placed on the teeth.

5- The surgery is performed in the hospital and under general anesthesia, intraorally (from inside the mouth) – without opening any incisions in the face (from the outside) – and thus the surgical operation does not leave any scars on the face.
6- The jaws are fixed by special Plates to ensure their permanent stability in their correct position.

7- The patient may stay in the hospital for a few days after surgery to ensure the stability of his health.
8- The jaws are fixed together temporarily by means of orthodontic braces and rubber bands, to ensure that the patient does not open his jaw wide and affect the results of the treatment. During this period, the patient’s diet can depend on liquids, soups, and completely pureed foods. This period may last for ten days.

9-Then, the surgeon gives the patient exercises to train his lower jaw and restore its normal movement.
10- The orthodontist should be consulted shortly after the surgery (often after two weeks) to assess the condition and start the post-operative orthodontic phase, where the final movements of the teeth are made to ensure a healthy occlusion and an ideal smile, often this stage does not exceed three months.
11- After that, the fixed braces are removed and the orthodontist delivers suitable retention devices to stabilize the teeth in their correct position and to maintain the treatment results.
It should be noted that this type of treatment has some side effects, the most common of which are:
1- As after any surgical procedure, the patient may suffer from some pain and discomfort after surgery – it may last for several days – This can be overcome with analgesics.
2- The face may become swollen after surgery, as a natural result, this swelling decreases automatically and gradually during the first two weeks, and there are some medicines that can speed up this process.
3- The symptom that concerns patients the most is loss of sensation of a part of the cheek or face. The patient regains sensation gradually, it may take from six months to a full year to fully restore the sensation.
In the end, we use this type of treatment only when the orthodontic treatment is not sufficient to correct the occlusion, or when the defect in the jaws has a negative impact on the beauty of the face and cannot be treated through orthodontics alone
