SMILES

AFTER

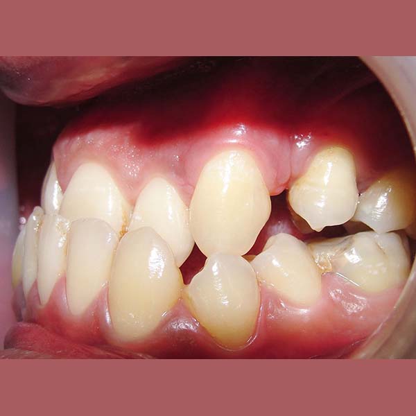
BEFORE





My young friend visited me suffering from a complete Bite collapse, a severe anterior crossbite, in addition to the loss of many of his back teeth. He was so frustrated, thinking that his case is incurable, and this frustration was reflected on his shy smile.
After examining the case, I have conveyed the good news to our friend, that despite the difficulty of his case, we were able to reach a satisfying result through orthodontic treatment. As expected, tooth extraction was nessecary, to open space for the rest of his teeth to arrange and treat the anterior crossbite. At the end of the treatment, most of our friend’s dental problems were treated, and he could smile happily and with confidence.